Monkeypox virus: Τι γνωρίζουμε έως τώρα για την ευλογιά των πιθήκων
Monkeypox viral / Η διασπορά των περιστατικών που νοσούν από την ευλογιά των πιθήκων αυξάνεται ανά τον κόσμο, ενώ είναι άγνωστη ακόμα η μεταδοτικότητα του. Για τον λόγο αυτό είναι απαραίτητη η ενημέρωση των επαγγελματιών υγείας, για την λήψη των απαραίτητων μέτρων προφύλαξης, καθώς και του βαθμού μεταδοτικότητας του ιού .
Πριν από δύο εβδομάδες μία επιδημική έξαρση κρουσμάτων ευλογιάς των πιθήκων ανιχνεύτηκε για πρώτη φορά στο Ηνωμένο Βασίλειο προκαλώντας ανησυχία στους ειδικούς δημόσιας υγείας.
Η διασπορά των περιστατικών που νοσούν από την ευλογιά των πιθήκων αυξάνεται ανά τον κόσμο, ενώ είναι άγνωστη ακόμα η μεταδοτικότητα του. Για τον λόγο αυτό είναι απαραίτητη η ενημέρωση των επαγγελματιών υγείας, για την λήψη των απαραίτητων μέτρων προφύλαξης, καθώς και του βαθμού μεταδοτικότητας του ιού, τονίζουν οι ιατροί της Θεραπευτικής Κλινικής και της Ιατρικής Σχολής του Εθνικού και Καποδιστριακού Πανεπιστημίου Αθηνών, Γιάννα Ρέντζιου, Θεοδώρα Ψαλτοπούλου, Μαρία Καντζανού, Γιάννης Ντάνασης, Ροδάνθη Ελένη Συρίγου, Πάνος Μαλανδράκης, Δημήτρης Παρασκευής και Θάνος Δημόπουλος (πρύτανης ΕΚΠΑ), συνοψίζοντας τα νεότερα δεδομένα σχετικά με την ευλογιά των πιθήκων όπως δημοσιεύτηκαν στην επιστημονική επιθεώρηση Nature.
Επιδημιολογία-Παθογένεια-Κλινική Εικόνα-Διάγνωση-Θεραπεία
Ο ιός της ευλογιάς των πιθήκων ανήκει στο γένος Orthopoxvirus της οικογένειας Poxviridae, στο ίδιο γένος με τον ιό variola, ο οποίος προκαλεί την ευλογιά και έχει εκριζωθεί παγκοσμίως από το 1980. Ο ιός της ευλογιάς των πιθήκων ανακαλύφθηκε για πρώτη φορά το 1958 σε αποικίες πιθήκων, ενώ εντοπίστηκε για πρώτη φορά στον άνθρωπο το 1970 στο Κονγκό. Έκτοτε, έχουν παρατηρηθεί τοπικές επιδημικές εξάρσεις σε χώρες της Δυτικής και Κεντρικής Αφρικής, με τελευταία και σημαντικότερη την επιδημική έξαρση στην Νιγηρία με περισσότερα από 500 επιβεβαιωμένα και ύποπτα κρούσματα. Στην Ευρώπη και συγκεκριμένα στο Ηνωμένο Βασίλειο έχουν εντοπιστεί από το 2018 επτά κρούσματα-σχετιζόμενα με ταξίδι σε ενδημικές χώρες.
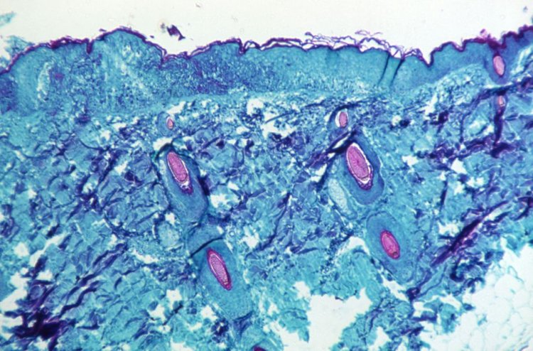
Η περίοδος επώασης είναι συνήθως 5-21 ημέρες και ο ιός μεταδίδεται μεταξύ των ανθρώπων μέσω του αναπνευστικού συστήματος κατόπιν εισπνοής μεγάλου μεγέθους σταγονιδίων και μέσω επαφής με δερματικές βλάβες πάσχοντος ή μολυσμένα υλικά (πχ κλινοσκεπάσματα ή πετσέτες που έχει χρησιμοποιήσει ασθενής). Η νόσος εκδηλώνεται με πυρετό, κεφαλαλγία, μυαλγίες, λεμφαδενοπάθεια και εξάνθημα, το οποίο συνήθως ξεκινάει από την κεφαλή και επεκτείνεται στον κορμό, ενώ συμπεριλαμβάνει και παλάμες-πέλματα. Το εξάνθημα αρχικά εμφανίζεται με τη μορφή κηλίδων και βλατίδων, οι οποίες εξελίσσονται σε μικρές φυσαλίδες, φλύκταινες και έπειτα σε εφελκίδες που τελικά υποχωρούν. Το εξάνθημα αυτό μερικές φορές συγχέεται με το εξάνθημα της ανεμοβλογιάς. Η νόσος διαρκεί συνήθως 2-4 εβδομάδες και στην πλειονότητα των περιπτώσεων είναι αυτοπεριοριζόμενη. Η διάγνωση γίνεται με απομόνωση του ιού σε καλλιέργεια, ανίχνευση του DNA του ιού με PCR σε κλινικό δείγμα ή ανίχνευση παρουσίας orthopox-ιού σε ιστούς με ανοσοϊστοχημικές μεθόδους.
Η θεραπεία εστιάζει κυρίως στην βελτίωση των συμπτωμάτων. Όσον αφορά στην αντιϊική θεραπεία, δύο φάρμακα που έχουν εγκριθεί για την θεραπεία της ευλογιάς θεωρούνται αποτελεσματικά και έναντι της ευλογιάς των πιθήκων: το tecovirimat, θεραπεία εκλογής σε συνδυασμό με το brincidofovir σε ασθενείς με σοβαρή νόσο. Η θνητότητα στις χώρες της Αφρικής κυμαίνεται μεταξύ 1-10% για τα στελέχη της Κεντρικής Αφρικής, ενώ για τα στελέχη της Δυτικής Αφρικής που αποτελούν αυτά που έχουν ταυτοποιηθεί στην πρόσφατη έξαρση στην Ευρώπη, η θνητότητα στην Αφρική είναι περίπου 3%. Στις επιδημικές εξάρσεις στο Δυτικό Ημισφαίριο δεν καταγράφηκε κανένας θάνατος.
Γιατί ο ιός της ευλογιάς των πιθήκων προκαλεί ανησυχία ως παθογόνο για την δημόσια υγεία;
Ένας από τους κυριότερους λόγους ανησυχίας είναι η απότομη άνοδος των κρουσμάτων, καθώς μέχρι το απόγευμα της 21ης Μαΐου 145 περιστατικά (επιβεβαιωμένα και ύποπτα) έχουν καταγραφεί σε 9 ευρωπαϊκές χώρες καθώς και σε Ηνωμένες Πολιτείες, Καναδά, Αυστραλία και Ισραήλ, όπως επισημαίνει ο κ. Moritz Kraemer, PhD, αναπληρωτής καθηγητής στο Πανεπιστήμιο της Οξφόρδης. Επίσης, άλλος λόγος ανησυχίας είναι η δυνατότητα μετάδοσης από άνθρωπο σε άνθρωπο χωρίς ιστορικό ταξιδιού σε ενδημική περιοχή, το οποίο σημαίνει ότι υπάρχει οριζόντια μετάδοση στην κοινότητα. Το μεγαλύτερο ερώτημα είναι, όπως επισημαίνει και ο Andrea McCollum, επιδημιολόγος στο Τμήμα Poxvirus του CDC, πόσο εύκολα μεταδίδεται από άνθρωπο σε άνθρωπο. Για τον λόγο αυτό, ο κ. Osterholm, διευθυντής του Κέντρου Λοιμωδών Νοσημάτων του Πανεπιστημίου της Μινεσότας, προβλέπει την πιθανότητα δυναμικής μετάδοσης του ιού λόγω της αγνώστου μέχρι ώρας μεταδοτικότητας του. Η αναπληρώτρια διευθύντρια του κέντρου ελέγχου και πρόληψης των Ηνωμένων Πολιτειών της Αμερικής κ. Jennifer McQuinston δήλωσε ότι «δεδομένου των επιβεβαιωμένων κρουσμάτων στην Πορτογαλία, και των ύποπτων περιστατικών στην Ισπανία, και δεδομένου της ανεύρεσης περιστατικών σε πολλές χώρες του κόσμου, είναι ακόμα άγνωστο πόσο μεγάλη θα είναι η διασπορά του ιού, και λόγω των συχνών μετακινήσεων μεταξύ των χωρών, θα δούμε περιστατικά σε όλο το κόσμο». Τέλος, η κ. Marion Koopmans, DVM, PhD, διευθύντρια τμήματος Erasmus που επικεντρώνεται στην έρευνα σχετικά με ιούς, επισημαίνει ότι η επιδημική έκρηξη αρχίζει να είναι ανησυχητική καθώς τα περιστατικά εντοπίζονται σε διαφορετικές χώρες, ασυνήθιστο για τον ιό της ευλογιάς των πιθήκων που δεν είναι τόσο μεταδοτικός.